den 24 mars 2025
Långvariga inflammationer väcker frågor om vitt snus

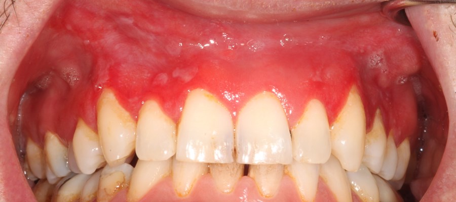
Svidande inflammationer som tar månader eller år att läka – så kan det se det ut i munnen efter användning av vitt snus. Nu ska forskare inom munhälsa vid Göteborgs universitet djupdyka i effekterna av det populära vita snuset.

Gita Gale
Specialisttandläkare. Foto: Margareta G Kubista.

Vitt snus
Foto: Margareta G Kubista.
Upprinnelsen till studien som nu inleds är de patientfall som börjat dyka upp inom universitetsvården efter remiss från olika tandvårdskliniker. Patienterna har skador i tandkötet som inte alls liknar dem hos användare av traditionellt brunt tobakssnus. Samtidigt noteras höga användarsiffror för vitt snus bland unga. Enligt hittills opublicerade data från senaste nationella SOM-undersökningen vid Göteborgs universitet uppger 25 procent i åldrarna 16-29 år att de regelbundet använder vitt snus. Hos gruppen kvinnor 16-29 år är andelen 27 procent.
Större oro för vitt snus
Vid användning av brunt snus blir slemhinnan oftast veckad och får en vit förtjockning där prillan läggs in. Hos vissa uppstår även sår där det vita snuset läggs mot slemhinnan. Vi är mer oroliga för de här förändringarna. De ser helt annorlunda ut, med rodnad och uttunnad slemhinna. Vävnadsprover har visat på kraftig inflammation och vi rekommenderar omedelbart snusstopp när man har besvär eller ser förändringar, säger Gita Gale, disputerad specialisttandläkare och en av forskarna bakom studierna.
Förändringarna vid användning av vitt snus tycks också vara mer svårläkta. Hos användare av brunt snus återställs tandkötet oftast på några veckor efter ett snusstopp. Skadorna efter vitt snus har visat sig kunna bestå i många månader, till och med uppemot något år.
Förändringar och riskfaktorer
I dagsläget är forskningen kring vitt snus begränsad. Den nu påbörjade studien finansieras till vidare med oberoende forskning och kommer inte att ta in externa finansiärer med koppling till tobaksprodukter eller vitt snus. Studiens rekryteringsbas är Västra Götaland via specialiserade tandvårdskliniker på olika sjukhus i regionen. Hittills har ett 40-tal patienter rekryterat till studierna, alla med förändringar i munnen efter användning av vitt snus.
Forskarna kommer att undersöka vilka olika typer av slemhinneförändringar som vett snus kan orsaka och vilka riskfaktorerna är. De ska också studera svårighetsgraden på inflammationer och vävnadsförändringar. Resultaten kommer att jämföras med tillgängliga data för brunt portionsnus. Studien ska också inkludera en kontrollgrupp av icke snusare med frisk munslemhinna där biopsier ska tas i munnen där snusare normalt lägger sitt snus.
Utbrett bruk – knappa kunskaper
Studien ska pågå i minst fem år och även inkludera studiedeltagare successivt. En viktig drivkraft är bara det faktum att användningen av vitt snus är så omfattande hos unga och även i gruppen kvinnor. Bruket av vitt snus bland framför allt ungdomar är skrämmande stort med tanke på hur lite vi vet om konsekvenserna av användandet på lång sikt, säger Gita Gale.
Gita Gale är disputerad övertandläkare inom orofacial medicin och verksam som universitetslektor i oral medicin vid Göteborgs universitet. Hon leder forskningsstudien tillsammans med oralpatolog Jenny Öhman, docent och universitetslektor i oral patologi på Göteborgs universitet.
Fakta 1 : Om det vita snuset
- Innehåller extraherat nikotin från tobaksblad, cellulosa (binde- och fyllnadsmedel), natriumalginat (konsistensgivare), salt, soda, smakämnen och sötningsmedel.
- Har ofta högt pH-värde, en effekt av sodan, vilket gör att nikotinet snabbare penetrar slemhinnorna och tar sig ut i blodet med starkare nikotinkickar som följd.
- Har funnits på marknaden i tio år. Klassas som tobaksfritt och lyder inte under tobakslagen. För inköp gäller 18-årsgräns och marknadsföringen är reglerad.
Källa: Institutionen för odontologi vid Göteborgs universitet.
Fakta 2 : Så många snusar vitt
- 9 procent av vuxna, från 16 år, uppger att använda snus minst en gång i månaden (regelbundet bruk) att jämföra med 16 procent för snus generellt.
- 8 procent av kvinnor och 10 procent av män använder regelbundet vitt snus, att jämföra med 9 procent av kvinnor och 24 procent av män för snus generellt.
- Användningen av vitt snus är mest utbredd i gruppen 16-29 år (25 procent), klart mer än vid 30-49 år (12 procent), 50-64 år (7 procent) och 65 år eller äldre (3 procent).
Källa: SOM-institutet vid Göteborgs universitet.
Svenskars snusvanor ingår sedan 1992 i den nationella SOM-undersökningen. Användningen av särskilt vitt snus studerades för första gången hösten 2024. Frågan gick då ut till ett slumpmässigt urval om 3 750 personer hämtade från det svenska folkbokföringsregistret. Undersökningens nettosvarsfrekvens var 51 procent.
Källa: Sahlgrenska akademin.